山东菲斯特汽车零部件有限公司荣获“2022聊城先锋跨境网商”奖
近年来,国际政治经济环境复杂多变,不确定...
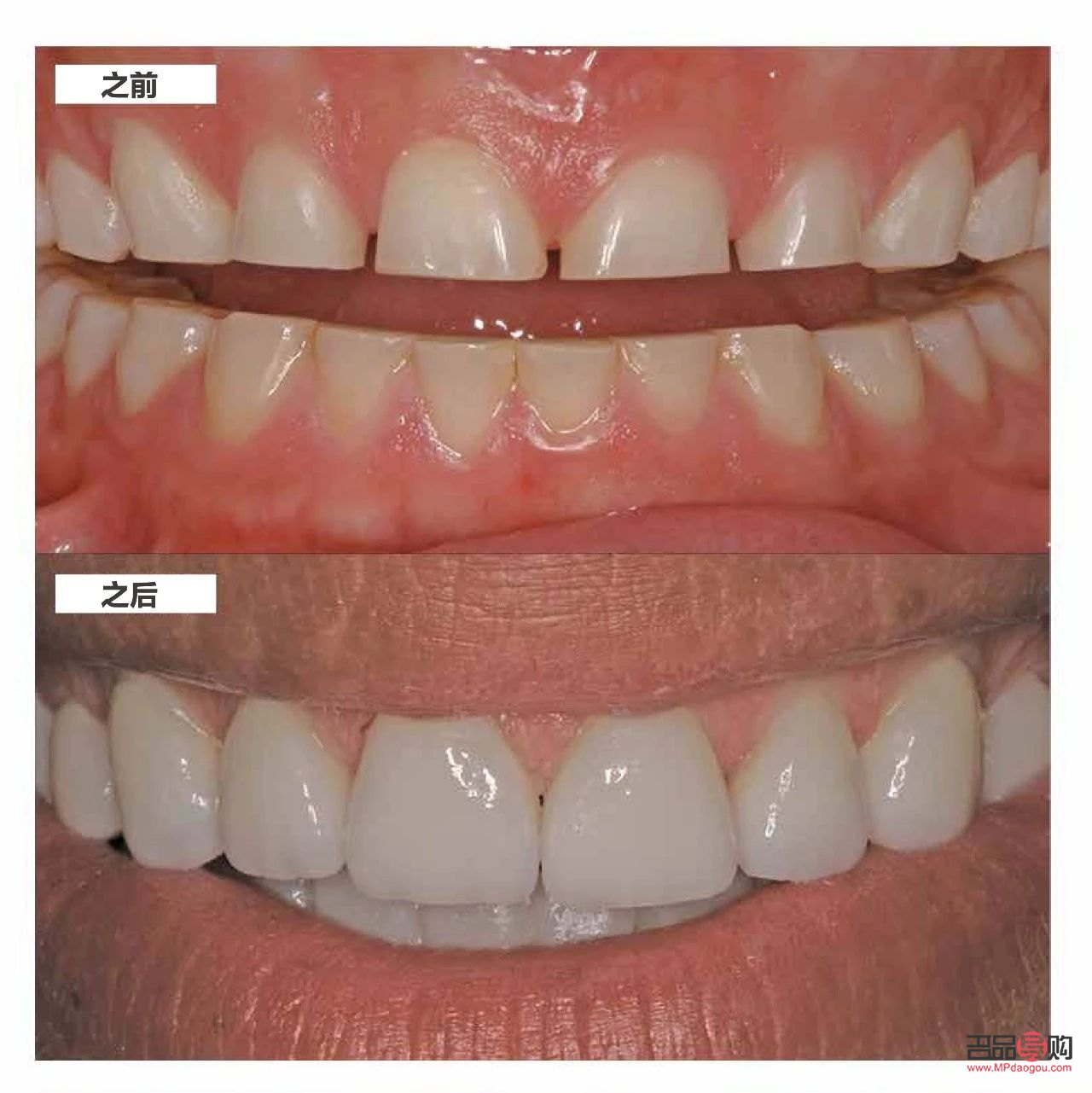
在当今社会,随着人们生活水平的提高和审美观念的转变,越来越多的人开始关注自己的牙齿美观,美容冠作为一种牙齿美容修复技术,受到了广泛关注,美容冠好吗?本文将从多个方面为您详细解析美容冠的优缺点,帮助您做出明智的选择。
1、美观度高:美容冠采用全瓷或烤瓷材料制作,色泽自然、通透感强,与真牙几乎无法区分,经过专业牙医的精细设计和制作,美容冠能够完美融入患者的口腔环境,提升整体美观度。
2、耐磨耐用:美容冠具有较高的硬度和耐磨性,能够承受较大的咀嚼力,不易受损,在正确使用和维护的情况下,美容冠的使用寿命可达数十年。
3、改善牙齿功能:对于牙齿缺损、畸形、变色等问题,美容冠能够提供良好的修复效果,恢复牙齿的正常形态和功能,提高咀嚼效率。
4、保护原牙:美容冠制作过程中,需要磨除部分牙体组织,但磨除量相对较少,美容冠能够覆盖住原牙,起到保护作用,防止原牙进一步受损。

1、价格较高:美容冠的制作过程复杂,需要精湛的技艺和高质量的材料,因此价格相对较高,患者在选择美容冠时,应充分了解价格因素,并结合自身经济状况做出决策。
2、治疗周期长:美容冠治疗需要经过多次就诊,包括牙齿检查、设计、制作、试戴、调整等步骤,整个治疗周期可能较长,患者需要耐心等待。
3、可能出现并发症:虽然美容冠的成功率较高,但在极少数情况下,仍可能出现并发症,如牙龈炎、牙髓炎等,患者在选择美容冠时,应选择正规医疗机构和经验丰富的牙医进行治疗,以降低风险。
1、了解自身需求:在选择美容冠前,患者应充分了解自己的牙齿状况和需求,明确希望通过美容冠解决哪些问题。

2、选择正规医疗机构:患者应选择具有正规资质和良好口碑的医疗机构进行治疗,确保治疗过程的安全性和有效性。
3、与牙医充分沟通:在治疗前,患者应与牙医进行充分沟通,了解治疗方案、预期效果、可能的风险等,确保双方对治疗目标达成一致。
4、关注材料选择:美容冠的材料种类繁多,患者应关注材料的质量、性能、价格等因素,选择适合自己的材料。
1、保持良好的口腔卫生:患者应养成早晚刷牙、饭后漱口的习惯,定期使用牙线清洁牙缝,保持口腔清洁。

2、避免咬硬物:美容冠虽然具有较高的耐磨性,但长期咬硬物可能导致其受损,患者应尽量避免咬硬物,以延长美容冠的使用寿命。
3、定期检查与维护:患者应定期到医疗机构进行口腔检查,及时发现并处理潜在问题,根据牙医的建议进行必要的维护措施,确保美容冠的长期效果。
美容冠作为一种牙齿美容修复技术,在美观度、耐磨性、改善牙齿功能等方面具有显著优势,患者在选择美容冠时,应充分了解其优缺点、选择合适的医疗机构和牙医、关注材料选择,并在使用过程中注意维护与保养,只有这样,才能确保美容冠发挥出最佳效果,为您的牙齿健康与美丽保驾护航。
名品导购网(www.mpdaogou.com)陕ICP备2026003937号-1
CopyRight 2005-2026 版权所有,未经授权,禁止复制转载。邮箱:mpdaogou@163.com